Acute kidney rejection after anti-sars-cov-2 virus-vectored vaccine – case report
Matej Vnučák1, Karol Graňák1, Monika Beliančinová1, Miloš Jeseňák2, Katarína Kajová Macháleková4, Jakub Benko3, Matej Samoš3, Ivana Dedinská1,3.
1Transplant Center, University Hospital in Martin and Jessenius Medical Faculty of the Comenius University, Martin, Slovakia (Slovak Republic); 2Department of Children and Adolescents, University Hospital in Martin and Jessenius Medical Faculty of the Comenius University, Martin, Slovakia (Slovak Republic); 31st Department of Internal Diseases, University Hospital in Martin and Jessenius Medical Faculty of the Comenius University, Martin, Slovakia (Slovak Republic); 4Department of Pathology, St. Elizabeth Cancer Institute Hospital, Bratislava, Slovakia (Slovak Republic)
COVID-19 infection remains a threat to the health systems of many countries. A potential success in the fight against the COVID-19 pandemic is the vaccination of high-risk groups, including patients with end-stage kidney disease (ESKD) and after solid organ transplantation (SOT). Immunosuppression in kidney transplant recipients can also reduce the immunogenicity of SARS-CoV-2 vaccines (varied by vaccine platform), available data suggest that they are efficacious in approximately 50 – 70 %, compared to non-transplant situations.
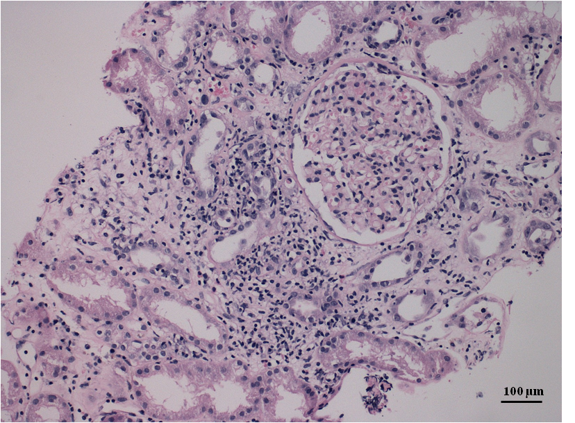
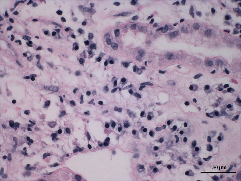
In this paper, we present a newly developed acute humoral and cellular rejection with acute allograft failure and need of haemodialysis 14 days after administration of the adenovirus vectored SARS-CoV-2 vaccine (AstraZeneca; CHADOx1, AZD1222). This occurred in a patient who previously had an asymptomatic COVID-19 infection.



Case reports of acute allograft rejection after vaccination against SARS-CoV-2 can help stratify risk groups of patients who develop hyperimmune reactions. However, it is also possible that those with a previous mild primary COVID-19 infection may also develop acute allograft rejections upon COVID-19 re-infection.
Matej Vnučák: participated in writing the paper and collecting the data . Karol Graňák: participated in writing the paper and collecting the data. . Monika Beliančinová participated in collecting the data. . Miloš Jeseňák: participated in paper design. . Katarína Kajová Macháleková: participated in collecting the data. . Jakub Benko: participated in collecting the data. . Matej Samoš: participated in paper design. . Ivana Dedinská: participated in writing the paper..

right-click to download